Come i geni materni e paterni contribuiscono al peso del bambino alla nascita
Sport estremi in gravidanza: c’è chi li pratica
Vestiti premaman: collezione 2014 H&M, il tuo look di ogni giorno
Tiroidite di Hashimoto e gravidanza: risponde l’endocrinologa
Mobbing e licenziamento in gravidanza. Risponde il legale
Il parto gemellare
Linee guida OMS sulla cura del neonato e della mamma nel post parto e puerperio.
Marijuana in gravidanza? Ecco cosa causa al bambino
Gravidanza gemellare e respirazione difficoltosa. Risponde l’ostetrica.
Ipotiroidismo asintomatico e gravidanza: risponde l’endocrinologa
Ricevi le notifiche delle settimane di gravidanza via email
Valori di TSH alto in gravidanza: risponde l’endocrinologa
Come superare la perdita di un figlio in gravidanza: i consigli della psicologa
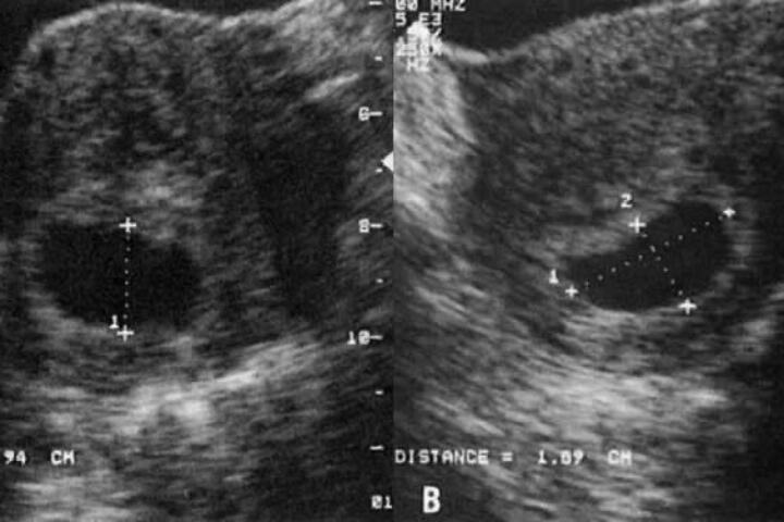
Misure della camera gestazionale per settimana di gravidanza
Quale esame prenatale fare per avere la certezza di un bimbo sano? Risponde la genetista
Il peso in gravidanza: quando si aumenta troppo? risponde la dietista
Il gioco dell’ago e del filo: scopri se tuo figlio sarà maschio o femmina
I migliori reparti di ostetricia – maternità in Sicilia biennio 2016-2017
I migliori reparti di ostetricia – maternità in Calabria secondo On.D.A biennio 2016- 2017